Ablation is an exciting approach to treating cancer within several organs of the body, including the liver, kidneys, lungs, and bone. While surgery to remove these tumors is often the preferred treatment, many patients have disease that is too widespread or other medical conditions that make surgery risky or difficult. In addition, other patients have tumors that have recurred or have not responded to conventional therapies. These are the patients that have been shown to benefit from ablation, which has grown safer and more effective in recent years. During these procedures, a needle-like probe is inserted through the skin, into the organ containing the tumor being treated, and then directly into the tumor itself. This probe is used to generate temperatures within the tumor (either too hot or too cold) that the tumor is unable tolerate. This leads to destruction (necrosis) of the tumor.

This is a PET-CT image demonstrating a metastatic tumor in the right lobe of the liver.

This is a CT image obtained during a microwave ablation case demonstrating the antenna within the target tumor.

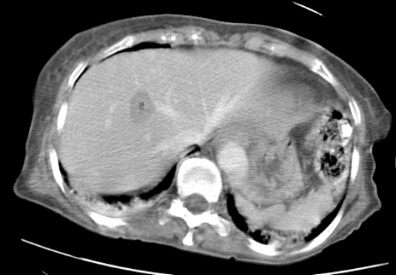
This is a CT image obtained after microwave ablation demonstrating the tumor and surrounding area affected by the procedure.

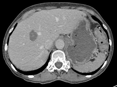
This is a CT image obtained 1 month after microwave ablation demonstrating the lack of enhancement in the treated area in the liver.
Radiofrequency Ablation
The goal of RF Ablation is to heat the tumor cells to temperatures greater than 60 degrees Celsius. At these temperatures, intracellular proteins and cell membranes are destroyed, killing tumor cells and some surrounding tissue. The size of the ablation zone corresponds to the size of the probe used. During the procedure, the ablation probe is placed directly into the tumor using ultrasound or CT for guidance. Once the probe is in place within the tumor, it is attached externally to an RF generator and a current is passed through the probe in order to heat and kill the tumor tissue. The dead tumor cells are gradually replaced by scar tissue that shrinks over time. If it happens at all, recurrent tumor tends to be found along the edge of the treated area of the liver, in which case retreatment is possible. That is why close follow-up with CT scans is very important.
Based on available data, outcomes appear to be excellent for patients with unresectable hepatocellular carcinoma. Studies suggest that complete local response can be seen in 70-75% of patients with tumors ranging in diameter between 3-5 cm. Patients with single primary liver tumors <3 cm in diameter and metastatic colorectal tumors <2 cm in diameter have a comparable survival rate after surgery or RFA. For patients with larger tumors, we worry about the risk of recurrence because larger tumors are more difficult to completely treat. This seems to be reflected in the medical literature, with the risk of recurrence in patients with tumors >5.0 cm quoted as high as 75%. In these patients, recurrent or persistent tumor is usually at the periphery or margin of the tumor and this can be retreated if recognized. With successful ablation, 5-year survival rates of 40-50% have been reported for primary liver cancer. This is why it is often said that patient selection has the greatest impact on disease-free survival after RFA.
Cryoablation
Cryoablation differs from radiofrequency and microwave ablation in that instead of exposing the target tumor to high temperatures, this technology exposes it to low temperatures in an effort to freeze the tumor. In a 2016 review article, Zondervan, et al reported a 95.6% 3-5 year survival after percutaneous cryoablation as well as a 5-year survival and local recurrence free survival of 86.3%. In 2015, Zargar, et al published a review article evaluating the results after cryoablation. They reported that the disease-free survival, cancer-specific survival (CSS), and overall survival (OS) rates were reported in five series and ranged between 85-97%, 98.5-100%, and 85-97.8%, respectively. Follow-up varied between 20 and 97.9 months. Zargar, et al also reported that complications associated with percutaneous cryoablation are rare. The most common complication is discomfort at the insertion site of the ablation probe (64%). Potential major complications include adjacent organ injury, injury to the collecting system of the kidney with possible fistula formation, and hemorrhage requiring transfusion
Microwave Ablation
Microwave ablation (MWA) is a treatment for tumors of the lung, liver, and kidney and is generally an option for patients who are not suitable candidates for more invasive surgery. Prior to an MWA procedure, Albany IR reviews the patient’s history and pre-procedural imaging to determine if the tumor pathology, size, and location is suitable for percutaneous ablation. Imaging is also reviewed to plan the safest and most effective location for placement of the microwave ablation probe.
Microwave ablation involves the image-guided placement of a thin metal needle-like probe through a 2-3 mm skin incision into the target tumor. CT and/or ultrasound typically provide guidance for placement of the probe, although MRI is also being used at some institutions. The procedure is performed under general anesthesia. When the probe position within the tumor is confirmed with imaging, electromagnetic energy in the form of microwaves is transmitted through the probe into the tumor, heating and subsequently killing the tumor cells. At the completion of the ablation, the probe is removed, and a small bandage is applied to the skin incision. The patient is then observed in the post-anesthesia care unit and most often discharged home the same day.
Several studies have been performed which demonstrate the effectiveness of microwave ablation. Belfiore, et al studied 56 patients with unresectable malignant lung tumors measuring up to an average of 3 cm treated with MWA. They found that cancer-specific mortality rates at 12, 24, and 36 months were 69%, 54%, and 49%, respectively [1]. Wolf et al. produced similar survival results following lung malignancy ablation; 12, 24, and 36-month survival rates were 65%, 55%, and 45% respectively [2].
Favorable outcomes have also been demonstrated with microwave ablation of primary and metastatic liver malignancy. A study by Takami et al. demonstrated no difference in overall survival rates, disease-free survival, or local recurrence in patients treated with intraoperative microwave ablation compared to surgical resection when tumors were <3 cm and less than three in number [3]. Iannitti et al. reported an overall survival rate of 47% for all tumor types and 74% for hepatocellular carcinoma at 19 months following microwave ablation [4].
Renal cell carcinoma can also be effectively treated with microwave ablation in select patients. A study by Yu et al. evaluated 46 patients with renal cell tumors measuring an average of 3 cm in diameter who were treated with microwave ablation; 12, 24 and 36 month overall survival rates were 100%, 100% and 98%, respectively [5]. Data published by Klapperich et al. demonstrated an overall survival of 91% at 36 months following ablation of renal cell tumors with a mean diameter of 2.6 cm [6].
References:
- (1) Belfiore G, Ronza F, Belfiore MP, et al. Patients’ survival in lung malignancies treated by microwave ablation: our experience on 56 patients. Eur J Rad 2013; 82:177-181.
- (2) Wolf FJ, Grand DJ, Machan JT, et al. Microwave ablation of lung malignancies: effectiveness, CT findings, and safety in 50 patients. Radiology 2008; 247:871–8.
- (3) Lubner M, Brace C, Ziemlewicz T, et al. Microwave Ablation of Hepatic Malignancy. Sem Interv Rad 2013; 30: 56-66.
- (4) Poggi G, Tosoratti N, Montagna B, Picchi C. Microwave ablation of hepatocellular carcinoma. World J Hepatol 2015; 7:2578-2589.
- (5) Yu J, Liang P, Yu XL, et al. US-guided percutaneous microwave ablation of renal cell carcinoma: Intermediate-term results. Radiology 2012; 263:900-908.
- (6) Klapperich M, Abel J, Ziemlewicz J, et al. Effect of tumor complexity and technique on efficacy and complications after percutaneous microwave ablation of stage T1a renal cell carcinoma: a single-center, retrospective study. Radiology 2017. Ahead of publication.