The treatment of cancer is evolving. Surgery, chemotherapy, and radiation therapy have served as the three pillars of cancer care for several decades, and each has made significant progress in the treatment of cancer. As technology has advanced, the ability of interventional radiologists to target tumors throughout the body with image-guided therapy has led to a significant evolution in cancer care.

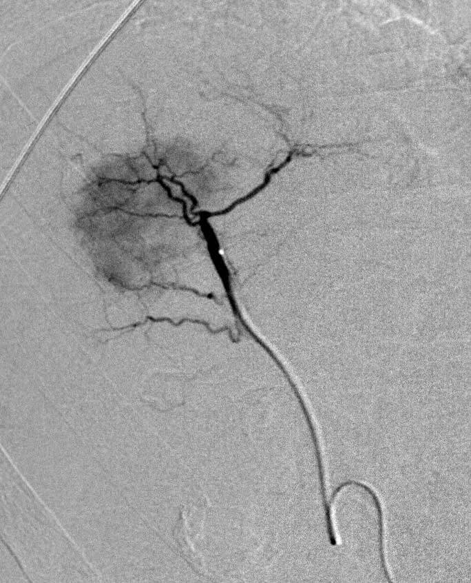
Radioembolization
Radioembolization is a procedure used in the treatment of both primary tumors of the liver (such as hepatocellular carcinoma and cholangiocarcinoma) and metastatic disease involving the liver in diseases such as colon cancer, neuroendocrine tumors, breast cancer, etc. The procedure involves the administration of small radioactive microspheres (containing yttrium-90) directly into the blood vessels bringing blood into the tumors in the liver in order to expose those tumors to radiation.

Chemoembolization
Chemoembolization is performed by IR to treat primary tumors of the liver (such as hepatocellular carcinoma) and metastatic disease involving the liver (such as colon cancer, neuroendocrine tumor, thyroid cancer, etc.). The procedure involves the administration of small microspheres and chemotherapy directly into the blood vessels bringing blood into the tumors in the liver. These beads allow for the slow release of chemotherapy into the tumor for prolonged treatment.

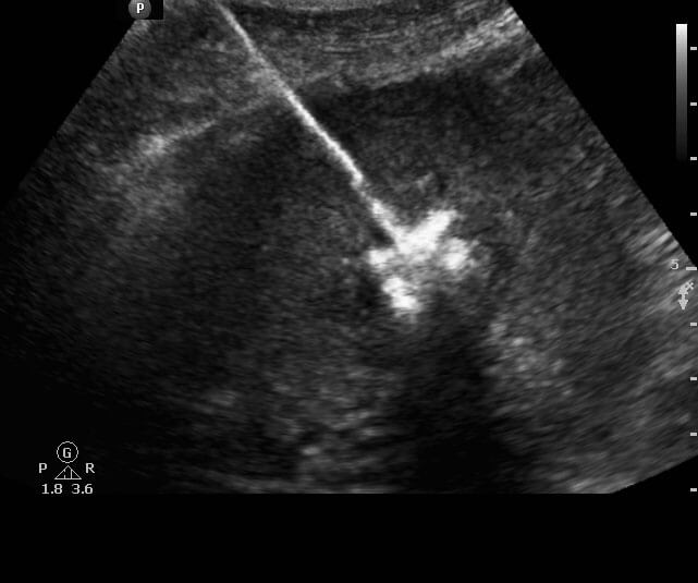
Ablation
Ablation is a treatment for primary and metastatic cancer involving the liver, lung, kidney, or bone. Ablation is a procedure performed by IR that involves placement of a needle-like probe into the tumor using CT or ultrasound for guidance. Once the probe is in place, the tumor is exposed to extremes of temperature; microwave and radiofrequency ablation expose the tumor to very high temperatures and cryoablation exposes the tumor to very low temperatures.

Biopsies
When a mass or spot is detected, it is important to understand exactly what that spot represents so the appropriate treatment can be initiated right away. A biopsy helps answer that question. If that spot turns out to be a cancer, the biopsy may help determine what treatment regimens the cancer is sensitive to. With the advent of new image-guided biopsy techniques, a large amount of tissue sample can now be obtained through a small pinhole in the skin. This allows IR to perform biopsies on an outpatient basis with virtually no post-procedural recovery times.

Venous Access
Cancer patients often require venous access to enable them to receive intravenous medications for treatment and to undergo frequent blood draws for follow-up testing. For these patients, IR plays a significant role in their care by placing one of a number of different venous access devices. These include PICC lines, ports, and other tunneled central lines. The image-guided techniques used in IR insure that these devices are placed appropriately and are immediately available for use once the procedure is completed.

Palliative Care
Many of the procedures that are performed on a daily basis by IR have a role in the care of patients in the late stages of cancer. Whether it is the management of fluid that is needed in a patient with ascites or pleural effusions or the need for nutritional supplementation via a feeding tube (such as a gastrostomy or gastrojejunostomy tube), IR can perform these and other procedures to improve the quality of life of patients with advanced cancer.