Cirrhosis is a condition that causes inflammation and scarring of the liver. There are many causes of cirrhosis, including, but not limited to hepatitis and alcohol intake. Regardless of the etiology of cirrhosis, all patients with cirrhosis are prone to morbidity as a result of a chronically scarred liver. One of the most difficult problems that patients with cirrhosis encounter is that the scarring of the liver makes it difficult for blood to flow towards it. As blood flows towards the liver, the scarring increases resistance to flow, which forces that blood to move in the opposite direction, away from the liver. This is no different than cars stuck in a traffic jam because of an accident on the highway; they must find alternate ways to get around the point of obstruction. In the case of cirrhosis, the disturbance of blood flow causes two main problems:
- Varices: When blood can’t freely flow towards the liver, it begins to pool in much smaller blood vessels that are not designed to handle large volumes. These vessels begin to dilate and become labeled “varices”. Under increased stress, these vessels are prone to bleeding which is why patients with cirrhosis often present with bleeding.
- Ascites: Continued scarring of the liver also results in increased pressure within its blood vessels. When someone steps on a garden hose with side holes, a larger amount of water seeps through the side holes. In the same way, the fibrotic liver causes an increased amount of pressure in the blood vessels causing an increased amount of fluid accumulation within the abdominal cavity, a process known as ascites.
Although varices and ascites can typically be treated medically, more invasive treatment may be required as the cirrhosis worsens. As interventional radiologists, we are able to offer a minimally invasive solution that enables the blood flowing towards the liver to bypass the fibrosis and scarring. This, in turn, lowers the pressure in the portal vein and treats the problem of ascites and varices. This procedure is known as a Transjugular Intrahepatic Portosystemic Shunt, or TIPS. A TIPS procedure allows the blood flowing into the liver to move directly through a channel we create in the liver and then back to the heart. I
If you, your hepatologist, or gastroenterologist feel that you may benefit from a TIPS procedure, we initiate the process through an outpatient consultation in our office in Latham. During your initial visit, we discuss the TIPS procedure and evaluate whether or not you are a candidate. Patients require a baseline level of liver function so that their body can safely tolerate blood flow diversion away from the liver, and it is our utmost priority to advocate for the procedure only if it will help you. In addition, we also review your medication regimen to ensure all medical options have been exhausted prior to a TIPS treatment. After a thorough discussion and understanding of the procedure, its advantages, and risks, we proceed with the TIPS.
Procedural Details
The morning of your procedure, you arrive at the hospital and proceed to our state-of-the art recovery area at Albany Medical Center. Shortly after, you proceed to one of our angiography suites and you are put under general anesthesia for the procedure. The procedure is performed by placing a small catheter (tube) through a pinhole in the Internal Jugular Vein. Under live x-ray guidance, we are able to navigate this catheter from the Internal Jugular Vein into the Hepatic Vein, which is the main vein draining blood from the liver to the heart. After taking multiple pictures so that we thoroughly understand your vascular anatomy, we are able to connect the Hepatic Vein to the Portal Vein, which is the main vein bringing blood to the liver, with a stent. With the stent in place, the pressure within the Portal Vein decreases since blood can now easily flow through the stent into the Hepatic Vein and then to the rest of the body.

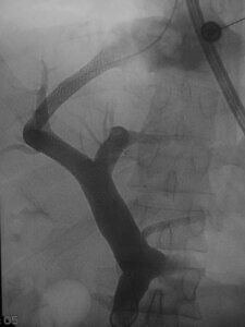
This is an image of the portal venous system obtained prior to creation of a TIPS. It demonstrates the main portal vein dividing into the right and left portal veins as it enters the liver. The branches of the right and left portal veins are seen as well.

This is an image of the portal venous system after a TIPS has been created. The image shows the main portal vein dividing into the right and left portal vein as it enters the liver. It then shows a stent (the wire tubing) extending from the right portal vein into the right hepatic vein – this stent provides a new pathway for blood flow through the liver.
At this point, we are able to remove the catheter from the neck leaving you with a small pinhole requiring only a band-aid. From here, you relocate to the post anesthesia care unit where you awaken from the general anesthesia. Following the procedure, we have you spend one night in the hospital simply for post-procedural observation. A majority of the recovery process takes place overnight and by the following morning, most patients go home.
Results
Following the TIPS procedure, most patients experience mild soreness in the area of the liver which, if required, is easily alleviated by prescribed pain medications. The TIPS procedure is very effective at reducing the bleeding associated with esophageal and gastric varices. In addition, it is effective at reducing the build up of fluid within the abdomen (ascites), which can allow these patients to not require frequent Paracentesis. Risks of the procedure include bleeding, liver damage, and the development of confusion (encephalopathy). The confusion occurs because the shunt that we created through the liver limits the ability of the liver to clear toxins such as ammonia from the blood. Fortunately, this can often be treated with diet and a drug known as lactulose although in extreme cases, a decision may need to be made to shut down the TIPS if the encephalopathy cannot be treated with this medication. If liver failure or confusion cannot be managed by medication alone, we always have the option of revising the TIPS to address the problem.
One other problem with a TIPS is that it is always at risk for shutting down due to tissue build-up and clot formation within the stent. Fortunately, new advances in stent technology have made this a much rarer event than it used to be. However, we still recommend that patients undergoing a TIPS procedure be monitored with ultrasound examinations performed on a regular basis to monitor patency of the stent. We typically see patients in our office 1 month, 6 months, and annually afterwards to ensure that the TIPS shunt is functioning appropriately.
